Welcome back!

Continue where you left off.

Text Size :
Health Conditions Banner.png

Stomach Cancer

Stomach cancer usually occurs when cells in the inner layer of the stomach wall grow and divide without stopping. Read on to learn more about manging risks against contracting this disease.
  • Article last reviewed 29 January 2018
  • 8 mins read

What is Stomach Cancer?

 
The stomach is located in our upper abdomen and is part of our digestive system. It connects the esophagus (gullet) with the small intestine. It acts as a food reservoir, mixes the food ingested and secretes liquid substances that aid digestion. Stomach cancer usually occurs when cells in the inner layer of the stomach wall grow and divide without stopping. Over time, these cells will form lumps called tumours and the cancer may invade more deeply into the stomach wall.

Who is at risk?

  • Family history of stomach cancer
  • A history of Helicobacter Pylori infection
  • Previous history of stomach lymphoma and stomach polyps
  • Long term stomach inflammation (chronic gastritis)
  • A diet high in salty and smoked foods
  • A diet low in fruits and vegetables
  • Smoking
     
    *People who think they may be at risk should discuss this with their doctor.

 What are the signs and symptoms?
 
Early stomach cancer may not show any noticeable signs or symptoms. Below are some symptoms of stomach cancer although other conditions may also cause those symptoms:

  • Upper abdominal pain (Dyspepsia)
  • Constant indigestion
  • Loss of appetite
  • Unintended weight loss
  • Black stool
  • Heartburn
  • Nausea and vomiting
  • Anemia
     
    *A doctor should be consulted if the symptoms above occur. 

What can you do to prevent Stomach Cancer?

 
There are two ways to prevent stomach cancer:

  • Avoid diets that are high in salt, smoked or pickled foods
    Choose a diet high in fresh fruits, vegetables and whole grain foods

Most often these symptoms can often be a result of other diseases other than cancer, only a doctor can tell for sure. Follow up and make an appointment immediately with your doctor if you experience these symptoms.
 
Stomach cancer is curable if detected early.

How is Stomach Cancer diagnosed?


If you experience any of the symptoms mentioned, the doctor may refer you to see a specialist after asking about your personal and family medical history and a physical examination.
 
The following tests are used to diagnose stomach cancer:
 

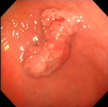
  • Endoscopy: Your doctor uses an endoscope (a flexible tube with a miniature camera attached to the end) to look directly at the stomach. If necessary, the doctor can take a small sample of the tissue (a biopsy) to be examined. This is inserted through the mouth into the stomach.
        

Type I                           Type II                    Type III                Type IV - Linitus Plastica

 

  • Barium X-Rays: You will have to swallow a liquid containing Barium (Barium is a metallic compound that shows up in x-rays). X-Ray pictures will then be taken when the Barium flows down to the stomach and reveals the structure and abnormalities of the stomach. The test will take about 15 minutes and it is not painful.
    If a cancer is found, other tests are required to find out whether it has spread to other organs.
     
    Computed Tomography Scan (CT-scan)

 

Endoscopic Ultrasound
 

  

Diagnostic Laparoscopic - Peritoneal Metastasis from Stomach Cancer

 
            

What are the treatment options?

 
There are different treatments available for stomach cancer depending on the stage, type and the position of the stomach cancer. Factors other than the stage of the cancer that might have an impact on your treatment decision include your age, your overall health, and your own preferences. The three main types of treatment include surgery, radiation and chemotherapy.
 
Surgery
Surgery is the most important treatment for stomach cancer in the early stages (where cancer is confined to the stomach). The most common treatment is called gastrectomy. There are two types:
 
Partial Gastrectomy: the removal of part of the stomach. The remaining portion of the stomach is then reconnected to the esophagus or the small intestine.
Total Gastrectomy: the removal of the entire stomach. The intestine is then reconnected directly to the esophagus. The lymph glands (nodes) close to the stomach will also be removed during the surgery.
 
If the cancer is too bulky to be removed, a connection will be made between the stomach and small intestine. This will relieve the symptoms but will not cure the cancer.

"Tailor Approach" Treatment Strategies

EMR / ESD                 Laparoscopic           Open
  

Laparoscopic Gastrectomy (LAG) - Trend at NUH (2005 - 2013)

 

Chemotherapy
Chemotherapy is the use of drugs to help kill cancer cells and shrink the size of the tumour. It can be given alone or combined with radiotherapy before or after surgery. It is also the treatment of choice if the patient is not suitable for surgery.
 
The drugs are given into a vein or by mouth. Once the drugs enter the bloodstream, they spread throughout the body. In stomach cancer, multiple chemotherapy sessions are usually required.
 
Radiation Therapy
Radiation therapy is a cancer treatment that uses high energy x-rays or other types of radiation to kill cancer cells or to keep them from growing. There are two types of radiation therapy – external and internal. The way the radiation therapy is given depends on the type and stage of the cancer being treated.
 
Radiation is usually administrated after surgery together with chemotherapy to kill very small remnants of the cancer that cannot be seen and removed during surgery. Radiation therapy can also be used to ease the symptoms of advanced stomach cancer.